Mamotomia
Você já ouviu falar em mamotomia?
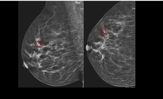
Esse é um dos tipos de biópsia de mama. A sua indicação mais comum é na
investigação de microcalcificações suspeitas na mamografia. Mas também pode ser
solicitada na presença de distorções, assimetrias e nódulos de pequenas
dimensões.
Exame realizado sob anestesia local, permite a retirada de fragmentos mamários em grande quantidade.
Pode ser realizada guiada pela mamografia (quando a lesão a ser pesquisada só aparece na mamografia) ou pela ultrassonografia.
Após a confirmação da saída das microcalcificações é importante a marcação do local biopsiado com um clipe metálico.

